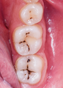
Una caries puede parecer un problema pequeño al principio, pero si no se trata, puede avanzar rápidamente.
🦷 ¿Cómo evoluciona una caries?
- Empieza afectando el esmalte
- Llega a la dentina
- Puede alcanzar el nervio
En fases avanzadas, el dolor aparece y el tratamiento se complica.
⚠️ Consecuencias de no tratarla
- Dolor intenso
- Infecciones
- Pérdida del diente
- Tratamientos más complejos
🛑 ¿Qué hacer?
Detectarla a tiempo permite tratamientos sencillos y menos invasivos.
👉 En Clínica Dental Salud Navarra realizamos revisiones para detectar caries en fases tempranas.
Últimas noticias
Etiquetas
carillas dentales cuidado dental dentista Navarra dentista Pamplona dientes perdidos encías estética dental higiene oral hilo dental implantes dentales implantes pamplona limpieza dental mejorar sonrisa Metabolismo Dental prevención dental prótesis dental rehabilitación dental salud bucal salud dental sonrisa perfecta