¿Por qué me sangran las encías aunque me cepille todos los días?

04 Mar by Juan Muñoz
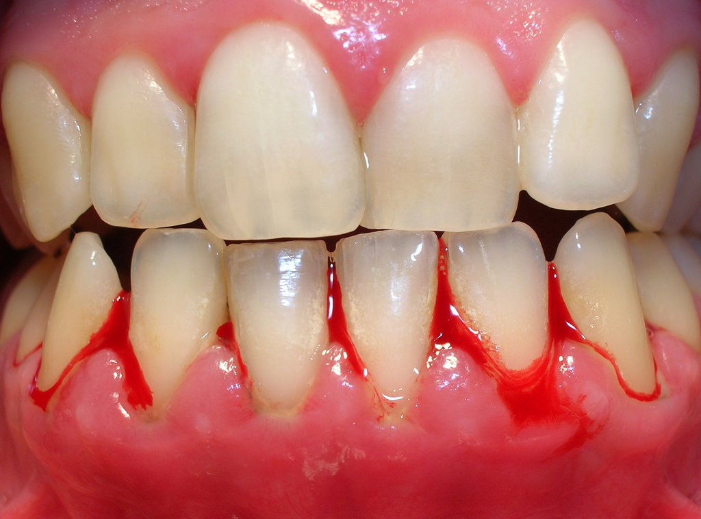
¿Por qué me sangran las encías aunque me cepille todos los días?

El sangrado de encías es uno de los motivos más frecuentes de consulta dental en Navarra. Muchas personas creen que es normal… pero no lo es.

Si tus encías sangran al cepillarte o usar hilo dental, tu boca te está avisando de algo.

🦠 ¿Qué causa el sangrado de encías?

Las causas más comunes son:

  • Acumulación de placa bacteriana
  • Gingivitis (inflamación de encías)
  • Periodontitis en fases iniciales
  • Cepillado demasiado agresivo
  • Cambios hormonales

Cuando la placa no se elimina correctamente, las bacterias provocan inflamación y las encías se vuelven más sensibles.

⚠️ ¿Es grave?

La gingivitis es reversible si se trata a tiempo.
Pero si se deja avanzar, puede convertirse en periodontitis, una enfermedad que puede provocar movilidad dental o pérdida de piezas.

🦷 ¿Cómo prevenirlo?

  • Limpieza dental profesional cada 6-12 meses
  • Técnica correcta de cepillado
  • Uso de hilo dental
  • Revisiones periódicas

Si notas sangrado frecuente, es importante valorar tu caso de forma personalizada.

En Clínica Dental Salud Navarra realizamos estudios completos de encías para detectar el problema a tiempo.

 

Lunes a jueves: 8:00 AM - 8:00 PM.
Viernes: 8:00 AM - 5:00 PM.
Tour Virtual
Lunes a jueves: 8:00 AM - 8:00 PM.
Viernes: 8:00 AM - 5:00 PM.
Horario de
atención