El bruxismo es el hábito involuntario de apretar o rechinar los dientes, especialmente por la noche. Cada vez vemos más casos en consulta, muchas veces relacionados con el estrés.
😬 Señales de que puedes tener bruxismo
- Dolor al despertar
- Tensión en mandíbula
- Dolor de cabeza frecuente
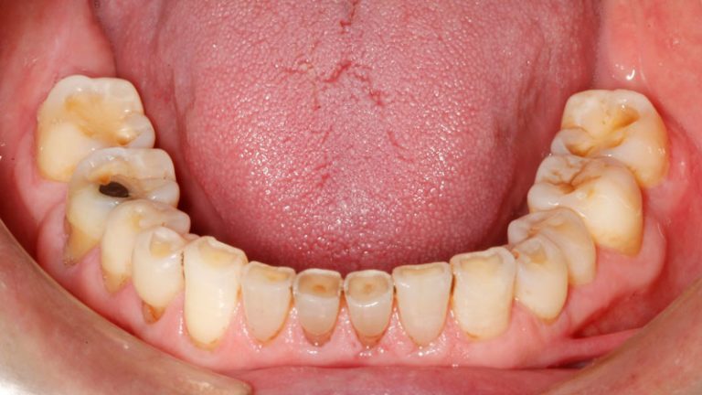
- Desgaste dental
- Sensibilidad en los dientes
Muchas personas no saben que lo padecen hasta que aparecen molestias.
🦷 ¿Qué consecuencias puede tener?
- Desgaste del esmalte
- Fisuras dentales
- Problemas en la articulación temporomandibular (ATM)
- Contracturas cervicales
🛡️ ¿Tiene solución?
Sí. Tras un estudio personalizado, se puede indicar una férula de descarga diseñada a medida que protege los dientes mientras duermes.
Si te levantas con tensión en la mandíbula o dolor de cabeza frecuente, una valoración puede marcar la diferencia.
Últimas noticias
Etiquetas
carillas dentales cuidado dental dentista Navarra dentista Pamplona dientes perdidos encías estética dental higiene oral hilo dental implantes dentales implantes pamplona limpieza dental mejorar sonrisa Metabolismo Dental prevención dental prótesis dental rehabilitación dental salud bucal salud dental sonrisa perfecta